股関節形成不全 犬

股関節形成不全 1 バーニーズマウンテンドッグ 生後5カ月 股関節形成不全の診断を受けました Bernese Mountain Dog Youtube

犬の股関節形成不全症 根絶への各国の取り組み 1 アルシャー京子 犬曰く

股関節形成不全 あさか台動物病院 朝霞市 動物病院

飼ってる人も飼いたい人もペットジャパン

大型犬に多い股関節形成不全 こんな犬種は子犬のときからご注意を モフマガ By ペットホームウェブ

サプリ アウトドアギア 愛犬グッズ販売 Bones Labo Qoo S Labo
May 12, 19股関節形成不全は特に大型犬に多いとされているので、症状があるときは一度x線検査を受けることをお勧めします。 それ以外にも、骨の成長を阻害したリ、筋肉を弱くするような各疾病( 甲状腺機能低下症 や クッシング症候群 など)によって後天的に股.

股関節形成不全 犬. Mar 18, 犬の股関節形成不全は、約7割が遺伝的な先天的な原因とされますが、それでもしっかり予防法を実施することで、防げたり進行を遅らせることが可能となります。 また今回は、主な3つの治療法と気になる手術費用も紹介します。. Dec 28, 17犬の股関節脱臼の原因や症状(痛みや歩き方)と治療について! ですから、もともと股関節が弱い (形成不全)と指摘されたワンちゃんは、 なるべく進行させないように対処 して いくことが大事です。 基本的に股関節の問題は整形外科疾患. 専門医療 犬猫股関節形成不全症について (Hip Dysplasia) 股関節形成不全症は、成長期における発育不良によるものですが、遺伝等の素因も認められています。 しかしながらその原因はまだはっきりとは全て解明していません。 全ての動物で見られ、大型犬のみではなく、小型犬、時には猫においても発症しています。.
犬の股関節形成不全 股関節異形成とも言われ、主に大型犬種に多く見られる発育期の疾患です。 チワワ、ダックス、ヨークシャー・テリア、トイ・プードル、ボストンテリア、ペキニーズなど 人気の小型種・短頭種に、先天性水頭症としての発生が多い傾向にあります。. 股関節形成不全とは? 股関節形成不全とは犬が発育の途中に股関節の形成に異常をきたしてしまう事で発症します。 この股関節の形態的な異常は、犬の体に様々な症状を発症させます。 股関節形成不全の発症は、一般的に両側の股関節で発症することが多くあります。 しかし場合によっては 片方の股関節だけが、股関節形成不全に陥る 可能性もあります。 この. 股関節形成不全とは、股関節の形態的な異常のこと。痛みを伴なうことがあり、犬の生活の質を大幅に低下させる恐れがあります。 この記事の監修者 みずの動物クリニック 水野範仁(みずの のりひと) 酪農学園大学獣医学科 修士課程修了 途中までちがう道を志すも若き青年の心を打ち壊す.
Mar 19, 「股関節が正常な状態の父犬、母犬を交配させた場合でも 約%、父母のいずれかが股関節形成不全の場合だと約40% の割合で、股関節形成不全の仔犬が生まれます。 この割合からも分かるよう、フレブルにとってもつきものの病気と言えるでしょう。. May 07, 19犬の股関節形成不全とは、大腿骨と骨盤の結合が緩いために関節に炎症が起こり、痛みのため 歩行困難 が生じる病気です。 正常であれば股関節と骨盤はしっかりと噛み合いなめらかに動く構造をしていますが、骨の形成異常で摩擦が生じ炎症を起こしてしまいます。. こんにちは。Manahau Dogのきむらです。 今日はグッズの紹介。 皆さんのわんちゃん 又は、お友達で股関節形成不全の子はいらっしゃいますか?この病気は遺伝などで起こると言われ、発症率は8%程。 股関節形成不全とは大腿骨と骨盤が上手く収まらず、発育または成長に異常が見られる疾患.
仕事柄、たくさんの犬達を見る機会が多いのですが股関節形成不全の子を 見るたびグルコサミン350をお勧めしています。 今、嬉しそうに遊びまわる愛犬を見ているとあの時がウソのようです。 ***ライフパークお客様担当より***. いぬのこかんせつけいせいふぜん(こかんせつけいせいいじょう) 犬の股関節形成不全(股関節形成異常) 股関節形成不全(股関節形成異常)は、股関節が正常に形成されていないことや変形することにより、歩き方などに異変を起こす病気です。 遺伝や環境的な要因が考えられ、おもにジャーマン・シェパード、ラブラドール・レトリーバー、ゴールデン. Jul 11, 16股関節形成不全とは、太ももの骨と骨盤とを結合する股関節がうまく作られず形が異常になってしまう、発育や成長の異常です。 この病気は小型犬より大型犬に多く発症します。.

グッズ 犬用サポーター 股関節形成不全

愛犬を関節トラブルから守る 注意したい生活スタイルとは 犬の総合情報サイト 帝塚山ハウンドカム通信

大型犬に多い足の病気 股関節形成不全 横須賀市のつだ動物病院

特定非営利活動法人日本動物遺伝病ネットワーク 股関節形成不全とは

股関節形成不全 整形外科 みなみ野動物病院 八王子みなみ野

あいの動物病院治療成績2

股関節脱臼 あさか台動物病院 朝霞市 動物病院

とりい動物クリニック 静岡県富士市 動物の遺伝病をご存知ですか

大型犬に多い股関節形成不全 こんな犬種は子犬のときからご注意を モフマガ By ペットホームウェブ
股関節形成不全 Wikipedia

獣医師監修 股関節形成不全とは 原因や症状 予防法は 大型犬に多いって本当

股関節形成不全 ベルどうぶつクリニックのブログ

Dpo Post Op R3wks L 6wks Youtube

スーパーマン 犬 Axelicious

股関節形成不全のチェックとブリーダーそしてケネルクラブの役目 藤田りか子 犬曰く
Dental Care Annual Exams Kapolei Hi

楽天市場 股関節形成不全 犬 サプリメントの通販

股関節形成不全 犬の病気事典 アクサダイレクトのペット保険
犬の股関節形成不全の遺伝的要因を検証した研究結果 Yahoo Japan

診療案内 川瀬獣医科病院

特定非営利活動法人日本動物遺伝病ネットワーク 股関節形成不全

股関節形成不全 犬 みんなのどうぶつ病気大百科

犬の股関節形成不全に対する股関節全置換術 東京都町田市の二次診療動物病院 オールハート動物リファーラルセンター

股関節形成不全

股関節形成不全ってどんな病気 大型犬は要注意 症状や治療など

愛犬のための知識 犬の股関節形成不全とは 犬を知る Youtube

犬の股関節形成不全 獣医師が解説 ワンペディア

猫の股関節形成不全 股異形成 症状 原因から治療法まで筋骨格系の病気を知る 子猫のへや

股関節形成不全 プレジールケンネル

Penn Hip おおにし動物クリニック 東大阪市 大東市の動物病院

10 Ways Your Golden Retriever Is Secreatly Communicating With You Sonderlives

股関節形成不全 北海道動物運動器病院 札幌市円山の動物病院

4歳ロングヘアー ワイマラナー 股関節形成不全 水道橋の治療院 グリーンカイロプラクティック水道橋本院

犬の股異形成 股関節形成不全とも言われる病気 獣医師が解説します かいぼっち

獣医師監修 犬の股関節形成不全症ってどんな病気 症状と診断方法 Docdog ドックドッグ

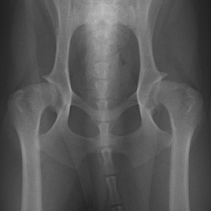
股関節形成不全の画像 犬と猫と日々を暮らす

1才ラブラドールの治療を東洋医学で キュティア老犬クリニック

専門医療 犬猫股関節形成不全症について Hip Dysplasia 神奈川県西鎌倉の動物病院 小川犬猫病院

獣医師監修 犬の 股関節形成不全 症状 原因 治療法について Illness 病気 わんクォール

診療案内 川瀬獣医科病院

犬の股関節形成不全について 症状から予防 治療方法まで わんちゃんホンポ

犬が変な座り方をする心理4選 病気が隠れている可能性も わんちゃんホンポ

獣医師監修 股関節形成不全とは 原因や症状 予防法は 大型犬に多いって本当

股関節形成不全 診療科目 国立市 ふく動物病院 ふく動物病院 国立市 府中市 国分寺市 立川市 整形外科 腫瘍科

Yasashiku Wakaru Inu No Kokansetsu Keisei Fuzenshoi Kea Informed Consent Handbook Gary Clayton Jones Hirokazu Mori Yoshiko Fukuhara Amazon Com Books

藤井寺動物病院 病院日誌 院長より Livedoor Blog ブログ

獣医師監修 犬の股関節形成不全症ってどんな病気 症状と診断方法 Docdog ドックドッグ

犬の股関節形成不全について知っておきたい8つのこと The Woof イヌメディア

跛行 壱岐動物病院

西長堀動物病院 診療紹介 股関節形成不全

特定非営利活動法人日本動物遺伝病ネットワーク 股関節形成不全とは

整形外科 股関節形成不全 歩けなかった犬が歩けるように 人工関節手術のスペシャリスト 藤井寺動物病院 大阪 フレンチブルドッグライフ

股関節形成不全を予防するために ブルマスティフ チベタンスパニエルのブリーダー奮闘記
ライフ動物病院 タウンガイド

股関節形成不全 ペット保険のfpc

犬の股関節疾患 滋賀県栗東市 野洲市 草津市の動物病院 こにし動物クリニック

整形外科 股関節形成不全 歩けなかった犬が歩けるように 人工関節手術のスペシャリスト 藤井寺動物病院 大阪 フレンチブルドッグライフ

犬の整体 股関節形成不全のワンちゃん 犬の出張整体 歩くいぬ

Bfx Instagram Posts Photos And Videos Picuki Com

専門医療 犬猫股関節形成不全症について Hip Dysplasia 神奈川県西鎌倉の動物病院 小川犬猫病院

犬の 横座り に注意 かわいいけど病気の可能性も 見分け方とは いぬのきもちweb Magazine

犬の股関節形成不全の症状 原因と治療法について獣医師が解説 価格 Com

犬の股関節形成不全 関節疾患 ypc東京動物整形外科病院 整形外科 神経外科 動物病院

犬の股関節形成不全について 犬の病気 症状の原因と飼い主ができること Eparkペットライフ

犬の股関節形成不全に整体ができること 神戸の犬整体 歩くいぬ のブログ

大型犬股関節形成不全のお散歩1 Youtube

若齢犬の股関節形成不全に対する三点骨盤骨切り術 東京都町田市の二次診療動物病院 オールハート動物リファーラルセンター

ポメラニアンのモモ太 健康診断で 股関節形成不全 と診断されたポメラニアンのモモ太は 股関節 を守りたくてスロープを使いこなそうと頑張っています よかったらyoutube動画をご覧下さいませ T Co 3syf77o9dd ポメラニアン ウルフ

股関節形成不全 北海道動物運動器病院 札幌市円山の動物病院

獣医師監修 犬の股関節形成不全 原因や症状 なりやすい犬種 治療方法は Hotto ホット

とりい動物クリニック 静岡県富士市 動物の遺伝病をご存知ですか

犬の股関節形成不全 かかりやすい犬種 症状 診断 原因 治療 予防法を獣医師が解説 ペトコト

犬の股関節疾患 滋賀県栗東市 野洲市 草津市の動物病院 こにし動物クリニック

股関節形成不全 こかんせつけいせいふぜん 骨と関節 犬の病気サイト 犬の病気 症状 健康の教科書

特定非営利活動法人日本動物遺伝病ネットワーク 股関節形成不全とは

Amazon Co Jp やさしくわかる犬の股関節形成不全症ケア 森淳和 ゲイリー クレイトン ジョーンズ 本

犬の股関節形成不全 土佐犬杏とフレブル千

大型犬に多い股関節形成不全 こんな犬種は子犬のときからご注意を モフマガ By ペットホームウェブ

股関節形成不全でした ずっと一緒だよ

特定非営利活動法人日本動物遺伝病ネットワーク 股関節形成不全とは

日本製骨絡思敏350 Glucosamine 350 貓狗關節保養營養補充品喵星人汪星人寵物保健 哈日酷 露天拍賣

股関節形成不全ってどんな病気 大型犬は要注意 症状や治療など

切 柯基好不好養 之奧咖篇 卡內麻的少爺養成日誌 痞客邦

股関節形成不全のわんこのビフォア アフター 犬の整体院のブログ

股関節形成不全の悪化 ラブラドールな犬ブログ

広島県呉市 石崎動物病院 股関節形成不全と骨頭壊死

ご存じですか 犬の股関節形成不全とその治療法について

股関節形成不全 犬 みんなのどうぶつ病気大百科

獣医師監修 犬の股関節形成不全とは 原因や症状 治療法や予防法について解説

ペット用犬用ベッド 洗えるスリーピースのペットソファ猫の巣 リバーシブルマット 枕

犬の股関節形成異常 毛皮で覆われた友人の原因 症状 治療

ご存じですか 犬の股関節形成不全とその治療法について

犬の股関節形成不全 犬の疾患 ペット保険の Ps保険 少額短期保険ペットメディカルサポート株式会社

獣医師監修 犬の 股関節形成不全 症状 原因 治療法について Illness 病気 わんクォール