犬 心臓肥大 レントゲン

心臓病について 杉並区のいぐさ動物病院

心臓病について 杉並区のいぐさ動物病院
僧帽弁閉鎖不全症による咳でした 黒プー ピュア 茶プー バトン

循環器科 プリモ動物病院 相模原

犬の左房破裂 心タンポナーデ 代官山のhalu動物病院

心臓病検査 野田動物病院
犬の僧帽弁閉鎖不全症 犬の心不全にはいろんな原因があります。心不全とは、病気の名前ではありません。全身に血液を送ったりもどしたりする心臓の働きが低下し、何らかの症状がみられた状態(症候名)を言います。 心不全の原因として.

犬 心臓肥大 レントゲン. 10//17呼吸数:1分で10〜35回 心臓病の犬はとくに呼吸数と心拍数を日常的に計測しておくとよいかと思います。 その子によって、ふだんなんでもないときの数値は異なります。 呼吸数計測してグラフ化してくれ、ふだんから%UPした場合(または30回を超えた. 犬の病気・猫の病気の「こんな状態・症状・病名の時、どうすればいいの?」が、すぐに見つかる、 犬の心臓肥大をくわしく調査してみると、なかなか面白い事に気がつきます。~~ワンコとニャン太のお気楽日記~~ 東大工学 犬の豆知識. 心拡大と心肥大―発見のはじまりは、胸部レントゲンや心電図から― 健康診断や人間ドックの検査結果で、胸部レントゲンや心電図の所見で“心拡大”、“心肥大の疑い”、“精密検査が必要です。 循環器内科を受診して下さい”などと書かれて、心配されて外来にいらっしゃる患者さんに、よくお会いします。 “言葉の意味はよくわからないけれど、心臓が悪い.
2/15/18犬の心臓肥大の症状とは? 原因と治療法、余命、食事の知識 心臓病 犬の病気 心臓病 犬の心臓病で心臓肥大というのはよくある病気です。 心臓肥大というのは心臓が通常の状態よりも大きくなっていることです。 症状が進行している状態では余命が数ヶ月という場合もありますので、早めに治療することが必要です。 心臓が肥大することでどのような. 以下のような検査を行い、心臓の状態を調べていきます。 聴診:心臓音(雑音の程度)、呼吸音を調べます。 レントゲン検査:心臓の肥大の程度や血管に異常がないかなどを調べます。 心電図検査:電気的流れから波形の異常や不整脈などを調べます。. この病気は進行するとX線検査や心臓エコー検査で心臓の拡大が認められます。 今回はX線検査での心臓の拡大の評価方法の1つである「VHS」についてご説明致します。 VHS(Vertebral Heart Size):胸骨心臓サイズ VHS とは胸部 X 線検査で心臓の拡大の程度を簡単に評価する方法です。 まず、心臓の長軸(赤線: L )を測定し、第 4 胸椎から椎骨何個分に相当するか.
ティップの心臓の右側は肥大したまま、変形した状態は元には戻らなかった。 そして、その心臓肥大が原因で、別の臓器も悪化した。 辛い思いをするのは、犬だ。 でも、ここで嘆いて悲しんでも、状況. 4/1/こんにちは、獣医師の森田です! コロナウイルスの感染拡大を受けて、 出張のお仕事はしばらくお休みになりそうです。 離島診療ルポの第2回は、若手獣医さんに向けて 「〜レントゲンで心臓を評価する3つの方法〜」 です! 2月に八丈島にお伺いした際の出来事をまとめていきたいと思いま. Mixi犬の十戒 心臓肥大について はじめまして! 2歳になるヨーキーを飼ってるんですけど 小さい時から体が弱くて最近は元気になってきて 安心してたんですけどまた調子が悪くなって急に痛がって泣いて 病院に連れて行って血液検査は異常なかった.
5/31/17レントゲン 心臓の形や肥大していないかなどをみます。 超音波 心臓の血液の流れ、壁の厚さなどの状態をみます。 血液検査 心不全によって起こる肝臓や腎臓の機能の低下や、多血症になっていないかを調べる。 血圧測定 血圧の変化をみる。. 7/13/18胸のレントゲン写真で心臓の大きさを測ってみよう! 18年7月13日 admin 放射線科 最近、死亡原因としてテレビなどでよく耳にする 「心不全」 という言葉がありますが、病名だと思っている方が多いのではないでしょうか? 実は、 「心不全」 という言葉は病気の名前ではなく、心臓のポンプ機能が低下し身体のあらゆるところへと影響が及んだ状態を言います. 犬の心臓病で一番多い病気は僧帽弁閉鎖不全症です。 そして、この地域で特に多く見かけるのはフィラリア症です。 僧帽弁閉鎖不全症は防ぐことができませんが、フィラリアは予防することができます。 猫で多い心臓の病気は心筋症です。 また、猫でもフィラリアにかかると言われています。 これらの病気の診断には、レントゲン、心電図、血液検査、心エコー.
Previous 一覧へ Next ». レントゲン検査 正常な犬の心臓のレントゲン画像です。 僧房弁閉鎖不全症を発症した犬のレントゲン画像です。 心臓の陰影が拡大し、横から撮ったレントゲンでは、心臓によって気管が背側に変位しています。 気管が圧迫されることで咳が出ます。 また、肺の一部が白くなっていて、水が貯まっている状態( 肺水腫 )が示唆されます。 肺水腫では溺れた状態. 犬 心臓肥大、チアノーゼの応急処置は? こんにちは。 今我が家には、今年14歳になるキャバリアがいます。 憎帽弁閉鎖不全症?(心臓肥大)のため、ジゴシン、硝酸イソソルビド、フロセミドというお薬を常 質問No.
5/27/18犬のレントゲン撮影にかかる平均的な費用 犬のレントゲン撮影検査の1回の平均費用は、小型~中型犬で5,000~10,000円、大型~超大型犬で8,000~15,000円となります。 ただし、犬のレントゲン検査を緊急時に夜間救急病院や救急病院にて受ける場合、検査や処置の他に、夜間料金(8,000円~)、緊急対応料金(5,000円~)などの費用が別途かかります。 また緊急時には. 心疾患 動物たちの長寿化に伴い、心疾患の動物たちが増えてきています。 一言で“心疾患”と表現しても、その病態は様々です。 それぞれの心臓に合わせた治療法を実施する必要があります。 心臓の評価は、レントゲン検査、超音波検査、全身状態 (心拍数・呼吸状態・脱水・体重の増減)、血液検査、心電図検査などで行います。. レントゲン検査 左心肥大 心臓エコー検査 右側からの傍胸骨短軸・大動脈レベルにて肺動脈内にモザイクを認める 全収縮期性のプローブに向かう乱流 診断 pda(動脈管開存症) 治療 動脈管結紮術をお.
心臓肥大な犬の対応方法 昨日、我が家の一員になって1週間、ハッピー(1歳 ヨーキー)の健康診断へ行きました。 1歳までペットショップで過ごした犬です。 まず判明したのは低血糖、慌ててブドウ糖を点滴する。 次は不整脈発覚。 レントゲンを撮ったら心臓肥大でした。 私の伯母が獣医で「あんたぶっ倒れる寸前だよ~! 」っとに言われました。 私の父親.

心臓疾患 愛知県日進市の動物病院なら竹の山どうぶつ病院

心臓病の治療に力を入れている動物病院なら大和市の つきみ野松崎動物病院

犬 息が荒い 咳をする 肺水腫 僧帽弁閉鎖不全 心臓病 習志野市 津田沼 アプリコット動物病院 症例集

犬の心臓肥大の症状とは 原因と治療法 余命 食事の知識 獣医師監修 犬のための情報サイト 教えてワン

心臓病 吐くような咳 犬 つくば市 土浦市 うめぞの動物病院

Vol 17 犬の僧帽弁閉鎖不全症 横浜市戸塚区の動物病院 ぬのかわ犬猫病院

心臓病について 杉並区のいぐさ動物病院

犬の心臓病 クルーズ動物病院

猫の心筋症 Hcm かたぎ犬猫病院 川越どうぶつ医療センター
Q Tbn And9gcqkd44rt42zjfclpjl7fuiannxu1roigshbqksle3evqqmleuw4 Usqp Cau

心臓病について 杉並区のいぐさ動物病院

千村どうぶつ病院 循環器科

目黒洗足動物病院 目黒区 品川区の動物病院 循環器科

心臓の検査 市川市 浦安市の動物病院 All動物病院行徳 皮膚科 眼科

Vhs Vertebral Heart Size 胸骨心臓サイズ 立川市の動物病院 犬 猫の病気や予防接種に マミー動物病院

循環器科 診療案内 岐阜市の動物病院 けやき通りの動物クリニック

第三十二回コラム 心拡大と心肥大 発見のはじまりは 胸部レントゲンや心電図から 成人医学センター

敗血症による重度肺炎と心タンポナーデ

胸のレントゲン写真で心臓の大きさを測ってみよう 心臓弁膜症 手術 みどり病院 神戸市西区

心臓 肥大 4 心肥大 左室肥大 の心電図変化 誰でも分かる 心電図の簡単な読み方
Q Tbn And9gcrvvisxrqbo8u9onrxibjgem4ulwqzo12fink6gw2wjdmkf2wn4 Usqp Cau

胸部レントゲンについて 心胸郭比 Ctr Cardio Thoracic Ratio 人工透析 シャントの情報サイト 善仁会グループ

動物病院tac たばる動物病院 宮崎市 トピックス 症例のご紹介

循環器科症例 僧帽弁閉鎖不全症 アクア動物病院

目黒洗足動物病院 目黒区 品川区の動物病院 循環器科

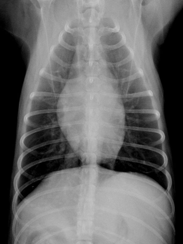
ペット豆知識 Vol 5 犬の僧帽弁不全症 Mr 僧帽弁閉鎖不全症で心臓の拡大 肥大と拡張 を呈した犬のレントゲン 像 左心房と左心室が拡大するため フィラリア症 逆d型 とは違って心臓はまん丸となる 側面像では拡張した左心房により気管が挙上する

循環器科 もりかわ動物病院 大田区 蒲田 池上 犬 猫 ウサギ ハムスター 鳥

心臓病について 杉並区のいぐさ動物病院

診察症例 チワワ 5歳 オス 僧帽弁閉鎖不全症 下野市 小山市の動物病院ならちょう動物病院 夜間救急対応

心臓病検査

心臓病検査 野田動物病院

Vol 17 犬の僧帽弁閉鎖不全症 横浜市戸塚区の動物病院 ぬのかわ犬猫病院

心臓の検査 市川市 浦安市の動物病院 All動物病院行徳 皮膚科 眼科

急性心原性肺水腫になってしまった一例 院長ブログ うぇる動物病院 町田市本町田の動物病院 犬猫の予防接種 夜間診療 ペットホテル

胸のレントゲン写真で心臓の大きさを測ってみよう 心臓弁膜症 手術 みどり病院 神戸市西区

自宅ケアで小さくなる ワンちゃんの心臓肥大 院長コラム ごとふ動物病院

千村どうぶつ病院 循環器科

心臓病 吐くような咳 犬 つくば市 土浦市 うめぞの動物病院

Vhs Vertebral Heart Size 胸骨心臓サイズ 立川市の動物病院 犬 猫の病気や予防接種に マミー動物病院

91 心臓が大きいと言われたら 心臓 循環器病あれこれ 国立循環器病研究センター 循環器病情報サービス

肥大型心筋症 心臓病外来 大塚駅前どうぶつ病院 心臓メディカルクリニック

心臓の検査 市川市 浦安市の動物病院 All動物病院行徳 皮膚科 眼科

肺腫瘍 腫瘍科 診療案内 科目 松原市 大阪市北区の動物病院 松原動物病院

動物病院tac たばる動物病院 宮崎市 トピックス 症例のご紹介

咳が出るんです ワンちゃん ネコちゃんの病気やケガ 一犬猫病院

犬のレントゲンを撮影しました Usuki Quest

手術症例 犬 前立腺肥大 モリヤ動物病院 町田市 大和市つきみ野
Q Tbn And9gcqawfn6za5kdnfzj4q91vjqgjagy1cxcp Svxaudb1bu9sy2hyx Usqp Cau

中高齢犬の咳 心不全からの肺水腫 アイビーペットクリニック

心臓の検査 市川市 浦安市の動物病院 All動物病院行徳 皮膚科 眼科

心臓疾患 犬 猫の弁膜症 心筋症の治療はみどり動物病院

猫の肥大型心筋症 福岡県須恵町の動物病院 リヴ動物病院 犬猫専門

レントゲン検査 愛犬が心臓病と言われたら

心臓病検査

診療案内 循環器科 品川区 大井町どうぶつ病院 犬 猫 ペットのワクチン 健康診断

心臓病の治療に力を入れている動物病院なら大和市の つきみ野松崎動物病院
心臓病の治療に力を入れている動物病院なら大和市の つきみ野松崎動物病院

Vhsで心拡大を測る 癒し系獣医師の動物病院開業日誌

循環器科 診療案内 習志野動物医療センター りょう動物病院

循環器科 あさか台動物病院 朝霞市 動物病院

僧帽弁閉鎖不全症手術治療費のご支援 ご協力をお願いします Campfire キャンプファイヤー

急性心原性肺水腫になってしまった一例 院長ブログ うぇる動物病院 町田市本町田の動物病院 犬猫の予防接種 夜間診療 ペットホテル

僧帽弁閉鎖不全症 心臓病外来 大塚駅前どうぶつ病院 心臓メディカルクリニック

Vol 17 犬の僧帽弁閉鎖不全症 横浜市戸塚区の動物病院 ぬのかわ犬猫病院

心臓病について 杉並区のいぐさ動物病院

日本ベェツグループ

犬の僧帽弁閉鎖不全症 タテイシ動物病院

循環器科 プリモ動物病院 相模原

犬のおなら ミニピンとウィペットの日記 アロゥの心臓病について

犬の急性肺水腫について 余命 Mahaloha Mana

心臓病検査 野田動物病院

動物病院tac たばる動物病院 宮崎市 トピックス 症例のご紹介

犬の僧帽弁閉鎖不全症と肺水腫 こばやし動物病院

ウィリーのこと 今日の小鉢

Vhs Vertebral Heart Size 胸骨心臓サイズ 立川市の動物病院 犬 猫の病気や予防接種に マミー動物病院

胸のレントゲン写真で心臓の大きさを測ってみよう 心臓弁膜症 手術 みどり病院 神戸市西区

循環器科 ハートワン動物病院総合医療ケアセンター 東京都 豊島区 池袋

心臓病が進行すると 肺水腫 日曜 祝日診療 足利市 太田市 佐野市 館林市 邑楽郡 桐生市
循環器疾患 症例紹介 診療案内 三重動物医療センター なるかわ動物病院
Q Tbn And9gcshapoi31x4mgq8xedeojiyszor7kkathxqlkqkry7uyvhzkv5r Usqp Cau

心エコー 心臓の超音波 豊洲 夜間診療可の動物病院 まつばら動物病院

ブログ 予防のこころ 長野県飯田市のトロッコ動物病院

レントゲン検査 愛犬が心臓病と言われたら

自宅ケアで小さくなる ワンちゃんの心臓肥大 院長コラム ごとふ動物病院

今月の病気 僧帽弁閉鎖不全症 お知らせ 教室 セミナーのご案内 吉田動物病院

循環器科 診療案内 岐阜市の動物病院 けやき通りの動物クリニック

X線診断の基礎知識 レントゲン写真の読み方 簡単解説

ハリネズミの心臓病 井本稲毛動物クリニック 千葉県千葉市稲毛区の動物病院

犬の急性肺水腫について 余命 Mahaloha Mana

Vol 19 犬の肺動脈弁狭窄症 横浜市戸塚区の動物病院 ぬのかわ犬猫病院

心臓肥大 心臓 bnp値など

91 心臓が大きいと言われたら 心臓 循環器病あれこれ 国立循環器病研究センター 循環器病情報サービス

循環器科 もりかわ動物病院 大田区 蒲田 池上 犬 猫 ウサギ ハムスター 鳥

犬猫はこの病気で死に至る 心臓病 犬で第2位 猫で第3位 Sippo シッポ

循環器科 プリモ動物病院 相模原

循環器科 葉山 逗子 鎌倉の動物病院なら葉山どうぶつ病院

診療について 循環器疾患について 犬 Sakai Animal Clinic

心臓病について 杉並区のいぐさ動物病院